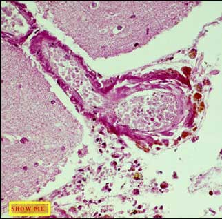
Can you find the abnormal beta amyloid protein?
click to view answer